Javascript must be enabled for the correct page display
Hours & Contact
Monday & Thursday:
7:00am - 4:00pm
Tuesday & Wednesday:
8:00am - 5:00pm
Friday:
Closed
Have a question? Give us a call!
(573) 637-4404
facebook
instagram
tiktok
youtube
google
Main Menu
Menu
Smile Gallery
Services
Family Dentistry
Wellness
Dental Checkups
Dental Cleaning
Oral Cancer Screening
Tooth Pain
Restorative
Dental Bonding
Dental Bridges
Dental Crowns
Dental Implants
Dentures
All-on-4
Dental Fillings
Dental Sealants
Full Mouth Reconstruction
Sedation Dentistry
Soft Tissue Graft
Cosmetic
Braces
Invisalign
Orthodontics
Teeth Whitening
Veneers
Conditions
Gingivitis
Endodontics
Root Canal
Oral Surgery
About Us
Meet the Team
Dentists
Hygienists
Support Staff
Locations
Park Hill
Bonne Terre
Testimonials
Office Tour
Community Involvement
FAQs
Technology
Blog
Patient Info
Insurance & Financing
New Patients Forms
Special Offers
Request an Appointment
Search
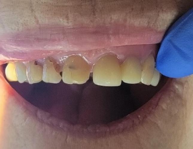
Case
1
Anonymous